إنقاذ ساق مريض من البتر في مستشفى سوهاج الجامعي
أعلن الدكتور مصطفى عبد الخالق، رئيس جامعة سوهاج، عن نجاح فريق طبي بوحدة قسطرة القلب وقسم جراحة الأوعية الدموية، من التدخل العاجل لإنقاذ ساق مريض من البتر، يبلغ من العمر 24 عاماً، وذلك باستخدام دمج بين التدخل الجراحي والقسطرة التداخلية، وهي تعد من التدخلات التي تحتاج إلى مهارة وتجهيزات خاصة.
وبحسب بيان اليوم الأربعاء، أوضح الدكتور أسامة رشاد الشريف، القائم بعمل عميد كلية الطب البشري ورئيس مجلس إدارة المستشفي الجامعي، أن عناية القلب بالمستشفى استقبلت شاباً تعرض لأزمة صحية كبيرة خارج البلاد، حيث أصيب بجلطة في الشريان التاجي للقلب وبعدها بساعات جلطة منتقلة من القلب للساق، وتم إبلاغ أهله بأن المريض قد يحتاج لعملية بتر للساق ورفض الأهل وأرسلوه فوراً إلى مصر.
وأضاف الدكتور حمدي سعد مدير المستشفى الجامعي، أن أهل المريض قاموا بنقله من المطار مباشرة للمستشفى الجامعي، حيث تمت مناظرته بواسطة فريق من وحدة قسطرة القلب برئاسة الدكتور شرف الدين شاذلي، وقسم جراحة الأوعية الدموية برئاسة الدكتور أحمد سيف.
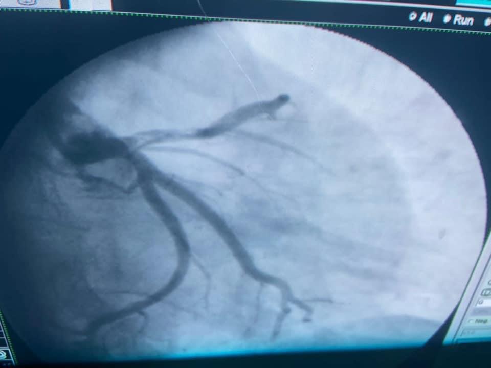
من ناحيته، أوضح الدكتور شرف الدين شاذلي، رئيس وحدة قسطرة القلب بالمستشفى الجامعي، أن فريق العمل بجراحة الأوعية الدموية قام بعمل سحب وإذابة جلطة الساق، وبعدها تدخل أطباء وحدة القسطرة لعمل قسطرة عاجلة للقلب لسحب الجلطة وتركيب دعامة الشريان التاجي عن طريق الذراع، وبفضل الله وعنايته، المريض الآن بحالة جيدة ويتماثل حالياً للشفاء في عناية القلب بالمستشفى الجامعي.
جدير بالذكر أن الفريق الطبي بقسم الأوعية الدموية ضم كل من، الدكتور أحمد سيف، الدكتور أسامة عبده عبد الرحيم، الطبيب الحسن محمد حسن، الطبيب كريم أيمن، الطبيب كريم ضياء، كما ضم الفريق الطبي بوحدة قسطرة القلب الدكتور شرف الدين شاذلي، الدكتور محمد عيد، الدكتور محمد عبدالوهاب، الطبيب محمد بهاء.


